老年患者“阳康”后反复发热、气短,原因为何?
2023-03-31 编辑:刘军
河南省人民医院呼吸与危重症医学科
尚俊依编辑 齐咏审校
患者病史介绍:
冯先生,男性患者,73岁。1月余前新型冠状病毒感染(COVID-19)后出现发热,最高体温达40℃,自行口服退热药物后体温降至正常。此后近1个月反复出现低热、活动后气短。当地医院胸部CT提示右上肺少许炎症,给予抗感染等治疗,效果不佳。后至当地另一医院就诊,给予多种抗感染药物应用,发热及气短症状仍无明显改善。1周前出现左下肢疼痛,持续无缓解。既往否认高血压、心脏病、糖尿病、风湿病等。
在河南省人民医院呼吸与危重症医学科门诊,齐咏主任接诊查体:呼吸平稳,心肺查体无异常,双下肢无水肿,腿围无差异。考虑到患者前期有新型冠状病毒感染(COVID-19)病史,但该患者确诊新型冠状病毒感染(COVID-19)的时间已大于1个月,仍有气短、发热,不能用肺炎解释。且患者下肢疼痛出现在单侧下肢,尽管双下肢腿围并无差别,仍需警惕深静脉血栓的存在。随即给患者安排了凝血六项和双下肢血管彩超的检查。D-二聚体1.51μg/ml明显增高,彩超提示左侧下肢多个静脉血管均有血栓形成。


患者双下肢血管彩超提示有股静脉血栓,而存在股静脉血栓是十分危险的,其一旦脱落,有可能会导致患者出现致命性的肺栓塞,在短时间内,患者就会出现生命的危险。
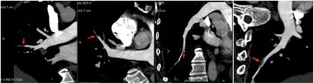
随即安排患者住院。住院后进一步完善了肺动脉CTA检查,CTPA显示:1.右肺下叶内底段肺动脉分支栓塞2.双肺炎症 3.双肺陈旧性病灶、肺气肿、肺大疱 4.纵隔内数枚小淋巴结 5.主动脉及冠状动脉钙化 6.双侧胸膜局限性增厚。

肺动脉CT血管成像:右肺下叶内底段肺动脉分支栓塞
危险分层:患者血压正常、心脏彩超无右心功能不全的表现,心脏生物学标记物均为阴性,故血栓危险分层为低危。

患者活动自如,为什么会形成下肢深静脉血栓(DVT)和肺栓塞(PTE)?进一步求因:磷脂综合征相关检测、风湿三项、肿瘤标记物、自身抗体谱、易栓症检测均为阴性。考虑患者在新型冠状病毒感染(COVID-19)1周后出现发热和气短,因此,患者罹患血栓的原因考虑与新型冠状病毒感染(COVID-19)相关。
治疗:由于患者血栓危险分层为低危,因此首选抗凝治疗。同时为防止下肢静脉血栓进一步脱落加重肺栓塞,嘱患者绝对卧床,避免挤压下肢。在足量抗凝的第3天,患者的体温也逐渐恢复正常,下肢疼痛感逐渐消失,呼吸困难症状改善。1周后复查下肢彩超,下肢血栓的栓塞程度较前减轻,并出院给与利伐沙班片20mgQD抗凝治疗,注意出血情况,3个月后来院复查,若有出血及时随诊。
冯先生十分感谢医生,自己本来因腿疼打算去做腿部按摩,幸亏及时来我科就诊找到了病因,否则后果不堪设想。
讨论
动脉和静脉血栓的高凝状态在危重症COVID-19患者中十分常见,有研究显示其发生率可高达30%[1,2]。COVID19住院患者,静脉血栓栓塞症(venous thromboembolism,VTE)是导致其死亡的重要原因之一。即使在接受预防性抗凝治疗的患者中,新型冠状病毒感染(COVID-19)也显著增加了肺栓塞的风险。
COVID-19患者VTE的发生率根据文献显示:COVID-19患者VTE的发生率为17%,其中深静脉血栓形成(deep vein thrombosis,DVT)发生率为12%,肺血栓栓塞症(pulmonary thromboembolism,PTE)发生率为7.1%。
COVID-19患者VTE的发病机制 COVID-19患者血栓形成的机制,包括导致大血管血栓形成和血栓栓塞的高凝状态,以及导致原位微血管血栓形成的直接血管和内皮损伤[3]。

COVID-19患者血栓形成机制示意图
引自Poor H D. Pulmonary Thrombosis and Thromboembolism in COVID-19 [J]. Chest,2021,160(4): 1471-1480.
重症COVID-19患者VTE风险增加的同时,出血风险也会增加。凝血和纤溶失衡、血小板过度活化、血栓消耗等,会导致凝血因子水平降低、血小板数量减少和/或功能障碍;组织缺氧和感染可增加肺泡、消化道、泌尿系等脏器的出血风险;高龄、恶性肿瘤、肝肾功能不全、高血压、糖尿病等也是出血风险增加的重要因素。
COVID-19患者VTE的诊断由于新型冠状病毒感染(COVID-19)会导致发热、乏力、肌肉酸痛、气短等的发生,使得血栓的诊断更易漏诊,因此当COVID-19患者以低热等上述症状就诊时,应警惕新型冠状病毒感染(COVID-19)后VTE的发生,要加强对VTE的排查。在血栓低风险或高风险的人群中,D-二聚体正常足以排除PTE的诊断,但对于血栓高风险的患者来说,D-二聚体正常并不能完全排除PTE。对于原因不明的胸痛、呼吸困难、低氧血症、低血压和心动过速,要注意判断有无肺栓塞的存在。肺血管造影(CTPA)是确诊或排除诊断的首选检查。核磁共振、肺通气/灌注(V/Q)扫描也可作为CTPA的补充或替代方法。对于下肢深静脉血栓的诊断,下肢血管超声仍是首选的诊断性检查。
COVID-19患者VTE的预防和治疗根据文献显示,绝大多数COVID-19门诊患者不需要抗凝治疗,但对于VTE风险高的患者(如存在易栓基因、卧床、既往接受过静脉血栓栓塞手术),可行预防性抗凝治疗。对于所有需因COVID-19住院的患者,如无禁忌,均推荐使用抗凝药物。对于非ICU的患者及出血风险低的患者,根据血栓的风险程度及COVID-19的分型,有时需要给予治疗剂量的抗凝药物用于预防血栓。对于ICU中没有疑似或确诊VTE的COVID-19患者,使用预防性剂量的抗凝治疗。在COVID-19住院患者的抗凝药物选择上,首选低分子肝素或普通肝素,口服抗凝剂(DOAC)一般不用于COVID-19住院患者的VTE预防。如果患者在接受治疗强度的抗凝药物期间出现新的或进行性血栓形成,应警惕肝素诱导的血小板减少症及肝素耐药的可能。
因此,新型冠状病毒感染(COVID-19)后如不明原因出现发热、胸痛、气短、持续不缓解的腿部肿胀、疼痛等症状时应警惕肺血栓栓塞症(PTE)和深静脉血栓形成(DVT)的发生,此时要及时行下肢血管彩超和肺动脉CTA检查进行判断。当确定发生了静脉血栓栓塞症(VTE)时,需及时采取相应的治疗与处理手段。
[1] Poissy J, J Goutay, M Caplan, et al. Pulmonary Embolism in Patients With COVID-19: Awareness of an Increased Preva lence [J]. Circulation,2020,142(2): 184-186.
[2] Middeldorp S, M Coppens, T F van Haaps, et al. Incidence of venous thromboembolism in hospitalized patients with COVID-19 [J]. J Thromb Haemost,2020,18(8): 1995-2002.
[3] Poor H D. Pulmonary Thrombosis and Thromboembolism in COVID-19 [J]. Chest,2021,160(4): 1471-1480.